Palīdzība depresijas gadījumā var būt izaicinājums. Jebkurā gadījumā, vai to sniedz izmantojot interpersonālu psihoterapiju(IPT), kognitīvi-biheiviorālu terapiju(KBT), apzināšanās(mindfulness) terapiju, zāles, vai dažādu palīdzības veidu kombinācijas, dažiem indivīdiem, kuriem ir depresija, nepāri...

Read More...

Par slaidumu un sava ķermeņa skaistumu vajag rūpēties ne tikai daiļā dzimuma pārstāvēm, bet arī vīriešiem. Kā izrādījās, tieši liekā svara iztrūkums var aizsargāt mūsdienu vīrieti no prostatas dziedzera vēža, kas ir viena no mūsdienu visbriesmīgākajām un nāvējošākajām stiprā dzimuma pārstāvju sasl...

Read More...

Cilvēkiem, kas dzer tēju vairākas reizes dienā ir mazāks diabēta attīstības risks. Par to ir paziņojuši pētnieki no Diseldorfas universitātes. Ja tiek dzertas viena līdz trīs krūzes tējas dienā, tad tas risku nesamazina, bet ja tiek dzertas četras vai vairāk, tad risks iegūt otrā tipa diabētu sama...

Read More...

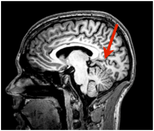
Online žurnāls Collectively Unconscious novembra numurā satīriskā rakstā ziņo, ka ir atklāts smadzeņu apgabals, kurš nedara pilnīgi neko. Neirozinātnieki no University of Ingberg ir atklājuši smadzeņu apgabalu, kurš nedara pilnīgi neko. Viņu pētījums, prezentēts ikgadējā Neirozinātnes biedrības ti...

Read More...

Amerikāņu pētnieki apgalvo, ka cilvēka svars lielā pakāpē ir atkarīgs no kompānijas, kurā tas ir pieradis atrasties. Pētnieki rekomendē tiem, kuri grib saglabāt ķermeņa slaidumu, mazāk tusēties ar resniem cilvēkiem, tā kā tas var izraisīt lieku kilogramu rašanos. Nesenais pētijums, kuru veica Davi...

Read More...